Precision-designed aesthetics backed by global expertise
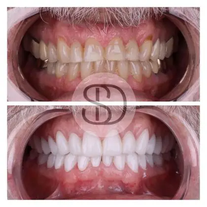
A flawless, radiant smile isn’t just about beauty—it’s about confidence, function, and how the world sees you. The Supreme Smile Makeover, featuring 16 custom zirconia crowns, is a transformative cosmetic solution designed to rebuild your smile with symmetry, strength, and natural brilliance.
This treatment blends the latest in digital dental technology, in-house craftsmanship, and elite global training to create smiles that are uniquely tailored, long-lasting, and truly life-changing. Whether you’re correcting worn teeth, discoloration, spacing, or bite issues, this full-mouth cosmetic restoration delivers both stunning results and lasting comfort.
🦷 What Is the Supremes’ Smile Makeover?

The Smile Makeover at Supreme Dental involves the placement of 16 ultra-durable zirconia crowns—typically 8 upper and 8 lower teeth across the visible “smile zone.” Each crown is individually designed using CAD/CAM technology to improve tooth color, size, shape, and alignment while maintaining a harmonious and natural appearance.
Unlike traditional cosmetic dentistry, this makeover goes beyond veneers or whitening—it provides a comprehensive aesthetic and functional transformation, restoring damaged, uneven, or aged teeth with full-coverage restorations built to last.
🔬 Why Zirconia Crowns?
Zirconia is one of the most advanced restorative materials in modern dentistry—combining exceptional strength, biocompatibility, and lifelike translucency. Supreme Dental uses only high-grade zirconia, custom-milled in their on-site dental lab, ensuring each crown is:
- Precisely fitted using 3D scanning and bite mapping
- Resistant to staining and wear
- Free of metal, highly aesthetic, and gum-friendly
- Strong enough for both front and posterior teeth

🧑⚕️ Is the Smile Makeover Right for You?
This procedure is ideal for patients who:
- Want a dramatic cosmetic improvement across their smile
- Have worn, chipped, discolored, or uneven teeth
- Are replacing old crowns or dental work for aesthetic consistency
- Want a durable alternative to veneers or bonding
- Are in good oral health with stable gums and bite alignment
If you’re unsure about your candidacy, Supreme Dental offers virtual consultations where your case can be evaluated before you travel.
💰 Premium Results Without the Premium Price Tag
In the U.S. or Canada, zirconia crowns typically cost $1,200–$2,000 per tooth. For a full smile makeover of 16 crowns, this can total $20,000 to $30,000 or more.
At Supreme Dental, patients receive the same world-class materials, digital planning, and lab precision for a fraction of the cost—often 60–70% less than U.S. pricing. Every crown is handcrafted on-site for accuracy, consistency, and beautiful, natural results.
🌐 Why Choose Supreme Dental for Your Smile Makeover
Your smile is one of the first things people notice—so it deserves to be crafted by experts. At Supreme Dental, every Smile Makeover is led by internationally trained cosmetic specialists using digital precision, high-end zirconia materials, and in-house lab artistry to deliver flawless, personalized results.
The clinic’s elite team includes dentists with education from Harvard University, NYU, and top Latin American universities. Each crown is custom-designed and milled on-site, ensuring faster turnaround, greater accuracy, and seamless color matching—all at a fraction of U.S. costs.
Whether you’re seeking aesthetic harmony, long-term durability, or a complete confidence boost, Supreme Dental offers a level of care, customization, and clinical quality that’s trusted by patients around the world.
🦾 Advanced Technology – Designed for Your Perfect Smile
At Supreme Dental, we use state-of-the-art tools and materials to ensure your smile makeover
is precise, natural-looking, and long-lasting:
● AI Facial Scanner – analyzes your facial structure to design a smile that complements
your unique features
● Intraoral Scanners – deliver highly accurate digital impressions for a precise,
comfortable fit
● Zirconia Crowns – durable, esthetic, and backed by a lifetime warranty
This technology allows us to craft custom smiles with exceptional detail, minimizing errors and
enhancing overall comfort during y
🧭 The Smile Makeover Process
Each step of the makeover is handled with care, planning, and artistry to ensure results that look great and feel even better.
1. Virtual Consultation & Smile Assessment
Patients submit photographs, X-rays, or scans for evaluation. A cosmetic specialist reviews your goals and develops a customized treatment plan.
2. In-Clinic Digital Scans & Prep
Upon arrival, 3D scans and smile design simulations are taken. Teeth are prepared minimally, and temporary crowns are placed while your final zirconia crowns are crafted in-house.
3. Try-In & Adjustments
Once your permanent crowns are ready, you’ll preview your new smile. Adjustments are made to fine-tune fit, color, and shape before bonding.
4. Final Cementation & Polishing
The crowns are permanently bonded, adjusted for bite, and polished for a natural finish. You’ll leave with a new smile that’s strong, beautiful, and uniquely yours.
🌍 Designed for International Patients
Supreme Dental was built with medical tourists in mind. From border-crossing assistance to aftercare coordination, the team ensures a smooth and welcoming experience.
Services Include:
- Free shuttle service from border/hotels
- Personalized treatment plans and online consultations
- Bilingual care (English & Spanish)
The clinic is located just 30 yards from the U.S. border, making it one of the easiest cross-border medical trips available.
💬 What Patients Are Saying
“I can’t stop smiling! The entire team at Supreme made me feel at home, and the results were even better than what I imagined. It’s the best investment I’ve ever made in myself.”
— Jessica L., California
“I was quoted $20K back home for my crowns. Supreme Dental gave me a Hollywood smile for a third of the price—without sacrificing quality. I felt safe, cared for, and amazed.”
— Aaron R., Toronto“I had 28 crowns placed and was so impressed with Supreme Dental! Dr. Elias and his team made me feel completely comfortable, and my results are incredible! I highly recommend their services!”
— Rich Nowak, Denver, Colorado“My husband and I both had work done at Supreme Dental. We did implants, followed by crowns 6 months later. We are very pleased with the work we had done. If we had the work done here in the US, I would have to go to 1 dentist and 2 specialists. At Supreme Dental, they do it all in the same office, in the same week. The prices are good. The staff are so nice and helpful.”
— Rhonda Yadao
Confidence restored — one smile at a time.
Supreme Dental – Where Academic Excellence Meets Artistic Dentistry.
Supreme Dental Clinic, located in Los Algodones, Mexico, is recognized as one of the most internationally accredited and trusted dental clinics in Latin America. The clinic provides world-class care to patients from across the United States, Canada, and beyond, specializing in advanced treatments such as dental implants, cosmetic dentistry, veneers, and full-mouth rehabilitation.
Combining elite dental training, state-of-the-art technology, and a deep commitment to personalized care, Supreme Dental is a leading destination for patients seeking exceptional outcomes at a fraction of U.S. costs.

🎓 Global Expertise, Ivy League Education
Supreme Dental’s medical team includes specialists trained at some of the world’s most prestigious institutions, including:
Our doctors are not only recognized leaders in implantology, prosthodontics, and cosmetic dentistry — they also actively participate in global dental research and education.
- Harvard School of Dental Medicine
- New York University College of Dentistry
- Universidad de Barcelona
- Universidad Nacional Autónoma de México (UNAM)


🛡 Recognized Worldwide for Clinical Excellence
Supreme Dental holds more than 10 international accreditations and affiliations, placing it among the most credentialed dental clinics in Mexico. These include:
✅ American Dental Association (ADA)
✅ American Academy of Cosmetic Dentistry (AACD)
✅ Academy of Osseointegration (AO)
✅ American Academy of Implant Dentistry (AAID)
✅ International Team for Implantology (ITI)
✅ International Congress of Oral Implantologists (ICOI)
✅ Academy of General Dentistry (AGD)
✅ American Academy of Periodontology (AAP)
✅ American Academy of Facial Esthetics (AAFE)
✅ International Association for Dental, Oral, and Craniofacial Research (IADR)
These memberships reflect the clinic’s strict adherence to international standards of safety, hygiene, and clinical protocols.

🦷 Advanced Technology for Precision Dentistry
Supreme Dental’s fully equipped facility includes a digital in-house laboratory and cutting-edge tools that elevate the quality of care:
- Straumann® Titanium Implants – globally renowned for strength and longevity
- PIC Dental System – the most precise digital scanning technology for implant dentistry
- Amann Girrbach CAD/CAM systems – for fully customized prosthetics made on-site
- Ivoclar Vivadent® Materials – used for high-aesthetic zirconia and PMMA restorations
- CBCT 3D Imaging – enables accurate diagnostics and digital surgical planning
This advanced infrastructure minimizes errors, shortens recovery time, and improves overall results — especially for procedures like All-on-4®, Zirconia bridges, and full-arch restorations.
🌍 Tailored for International Dental Travelers
Supreme Dental was built with international patients in mind. From the first virtual consultation to post-treatment follow-up, the clinic provides a smooth and transparent experience:
- Remote consultations and digital case planning
- English-speaking staff and dedicated patient coordinators
- Airport pickup and cross-border shuttle services
Located just 30 yards from the U.S.-Mexico border, Supreme Dental offers unmatched convenience for patients traveling from Arizona, California, Texas, or anywhere in North America.
Why Choose Supreme Dental for Your Dental Care?
- Harvard-Trained Specialists — Supreme Dental is one of the few clinics in Latin America with doctors educated at institutions like Harvard University, NYU, and Barcelona Dental School — combining world-class knowledge with local expertise.
- Mexico’s Leading Accredited Dental Clinic — With over 10 international accreditations, including the ADA, AAID, ITI, ICOI, and AACD, Supreme Dental meets and exceeds the highest standards of global dental care.
- Advanced Technology & On-Site Digital Lab — The clinic features cutting-edge systems like the PIC Dental scanner, Amann Girrbach CAD/CAM design, and CBCT 3D imaging — all supported by a fully equipped in-house dental laboratory.
- Straumann® Dental Implants — Supreme Dental exclusively uses top-tier titanium implants from Straumann®, a global leader known for reliability, integration success, and longevity.
- Custom Treatment Planning — Each patient receives a personalized plan based on digital diagnostics, clinical evaluation, and individual health goals — all delivered with transparency and care.Custom Treatment Planning — Each patient receives a personalized plan based on digital diagnostics, clinical evaluation, and individual health goals — all delivered with transparency and care.
- Built for International Patients — From virtual consultations to English-speaking staff, hotel partnerships, and cross-border shuttles, every part of the experience is designed with international patients in mind.
- Safe, Ethical, and Transparent — The clinic follows strict international sterilization and surgical protocols and offers clear pricing — with no surprises or upselling.
- Just Steps from the U.S. Border — Located only 30 yards from the border crossing in Los Algodones, Supreme Dental is easily accessible from Arizona, California, and Texas — perfect for patients seeking convenience and peace of mind.
- Thousands of Satisfied Patients Worldwide — With exceptional reviews and life-changing results, Supreme Dental has earned the trust of patients from over 20 countries who now smile with confidence.
Get Personalized Help With Your Procedure Abroad
Our team is here to support you every step of the way. Share your details below and we’ll connect you with the right specialists, answer your questions, and help arrange a smooth, stress-free experience abroad.






































